입원을 한 김에 갑상선기능항진증 뿐만 아니라 다른 질환도 가지고 있는지 알아보기 위해 All-body-scan을 하였습니다.
다행히 다른 질환은 없었으며 갑상선기능항진증 치료에만 매진할 수 있었습니다.
본격적인 치료를 시작하다
2018년 5월에 갑상선 기능 항진증을 진단받고 메티마졸이라는 알약을 처방받아 복용하기 시작했습니다.
아래 사진에 보시는 바와 같이 약의 크기는 매우 작습니다. 치료가 많이 진행이 되어 개선이 되면 약을 쪼개어 더 소량을 처방받게 됩니다. 놀랍게도 복용한 지 며칠 지나지 않아 손떨림이나 다리 떨림증상이 많이 개선이 되었습니다.
그러나 메티마졸을 복용하면서부터 살이 붙기 시작했습니다. 그 이유는 호르몬으로 인해 빨라졌던 대사를 느리게 만들기 때문에 살이 빠르게 찌기 시작하게 되는 것이죠. 불편함을 호소할 정도로 살이 빨리 찌게 되어 운동을 병행해야만 했습니다.



좀처럼 사라지지 않는 짜증
피곤함과 무기력감을 호소하기 때문에 쉽게 짜증을 내며 기분상태가 불안정하게 됩니다. 어떤 분들은 이런 불안정한 감정 상태 때문에 정신건강의학과를 찾아가기도 하지만 갑상선 문제로 인해서 나타나는 증상 때문이라는 것을 알게 되는 경우가 많다고 지난 글에서 말씀드렸습니다.
치료를 시작해도 좀처럼 짜증을 내는 행동이 개선되지 않았습니다. 결국은 체력증진과 정서적 환기를 하기 위해 유산소 운동을 하기 시작했습니다. 기분이 훨씬 좋아지면서 나 자신의 감정상태를 체크할 수 있을만한 여유가 생겼습니다. 결국 감정상태는 많이 개선이 되었으며 약을 복용하며 건강한 생활습관을 지켜나갈 수 있었습니다.
많은 도움이 되었던 유산소 운동, 그러나...
근력손실이 많았기 때문에 빠르게 그 손실을 채우고 싶었습니다. 유산소 운동을 병행하면서 근력운동을 꾸준히 하게 되었죠. 근육이 회복되는 만큼 활력이 샘솟는 느낌을 받았습니다. 그러나 얼마가지 않아 근육경련이 일어나게 되었습니다. 무거운 것을 들거나 많은 힘을 쓰지 않아도 경련이 찾아왔습니다. 목의 방향을 돌린다거나 발을 위로 올리는 경우에도 쉽게 경련이 오는 것을 경험하게 되었습니다.


결국 다시 병원 행. 혈액검사 결과를 본 전문의가 "운동을 심하게 하셨나 봐요?"라고 묻습니다. CPK항목 수치가 정상치의 10배가 넘는 결괏값이 있었습니다. CPK는 근육손상이나 심근경색과 관련 있는 효소라서 의심환자들을 추적하는 데에 사용되는 항목입니다. 다시 주사실로 향하여 링거를 맞으며 소위 '물타기(Hydration)'를 진행하게 되었죠. 물을 정말 자주 많이 마셔주는 것이 좋다고 하여 이제는 물병을 옆에 끼고 사는 신세가 되었습니다.
갑상선 안병증 진단을 받다
불암산 기슭에 있는 아름다운 카페에서 친구와 유유자적 즐겁게 이야기를 나누다 눈의 초점이 맞지 않는다는 사실을 알게 되었습니다. 시간이 흐를수록 정중앙의 초점 이외의 상하좌우 시야를 확보하기가 너무 힘들어졌습니다. 그리고 좌측 눈이 붓고 통증이 시작되었습니다. 안과를 방문하였으나 해결할 수 있는 방법이 없었습니다. 운전할 때 좌우 백미러를 봐야 하는데 그도 할 수가 없는 지경에 이르렀습니다.
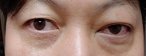
결국 대학병원으로 향하여 CT를 찍고 여러 가지 검사를 한 결과 갑상선 안병증이라는 진단을 받게 되었습니다. 원인은 모른다였습니다. 갑상선 호르몬이 정상범주에 있어도 치료를 받는 사람들에게 갑상선 안병증이 나타나는 경우가 많다는 전문의의 소견입니다. 다소 혐오스러울 수 있으나 증상을 이해한다는 취지에서 사진을 올리니 참고하시기 바랍니다.

위 사진을 보시면 왼쪽 눈이 붓고 초점이 맞지 않는다는 것을 알 수 있습니다. 쉽게 표현하면 안구 주변의 근육이 부어있기 때문에 안구 운동을 제대로 할 수 없게 되어 저렇게 보이는 것입니다.
평소 눈알을 굴릴 일은 컨닝 빼고는 없다고 생각했으나 그도 틀린 생각이었던 거죠. 복시현상이 정말 고통스럽다는 것을 이때 뼈저리게 느꼈습니다.
재발되는 갑상선 안병증
고용량 스테로이드를 6회 투여받고 많은 개선이 있었지만 정확히 1년 후 우측 눈에 또다시 갑상선 안병증이 찾아왔습니다. 많은 분들이 아시다시피 스테로이드를 투여받는다는 것이 그리 좋은 것만은 아닙니다. 급성 당뇨가 찾아올 수도 있기 때문에 당 소비를 위해 운동을 더 해줘야만 했습니다. 시야확보가 되지 않는 상황에서 운동을 하기가 여간 만만치 않았으나 묵묵히 운동을 하며 1주일 간격으로 진행되는 스테로이드 투여를 무사히 마쳤습니다.


만약 이 글을 읽고 계실지 모르는 갑상선 안병증 환자분에게 한 가지 팁을 드리자면 치료를 위해 일반 안과보다는 미용안과를 진료과목으로 채택하는 대형병원에서 진료를 받는 것이 좋습니다. 저는 운이 좋게도 약물로 개선이 되었지만 개선이 전혀 되지 않는 분들은 안와감압술과 같은 수술을 받는 경우도 있습니다.
이 수술을 하고 난 후 미용적으로 예후가 좋지 않은 경우가 있을 수 있으니 전문의의 선택에 정성을 기울이시고 많은 상담과 고려 후에 결정하시기를 추천드리며 가수 솔지의 경우를 링크해 드리니 기사를 참고해 보셔도 좋을 것 같습니다.

그리고 흡연자이면서 이 갑상선 안병증을 앓기 시작하셨다면 지금 바로 금연하시길 바랍니다. 저는 흡연을 하고 있지 않음에도 갑상선 안병증이 찾아왔습니다. 흡연자에게 아주 안 좋다고 하니 꼭 금연하시기 바랍니다.
'우리 모두 건강하게' 카테고리의 다른 글
| 반응성 애착 장애란 무엇인가요? (0) | 2023.10.21 |
|---|---|
| 갑상선기능항진증 증상 - 피곤하고 체중이 빠지는 이유 (체험기) (0) | 2023.10.18 |
| 피곤하고 살이 쪄요 - 갑상선 기능 저하증(hypothyroidism)의 증상 (0) | 2023.10.18 |
| 인공눈물 가격 인상 10배? - 히알루론산나트륨의 눈물 (0) | 2023.10.16 |
| 술을 마시고 난 후 라면이나 국밥과 같은 탄수화물이 생각나는 이유 (0) | 2023.10.13 |
댓글